You are currently browsing the daily archive for January 21, 2014.
Friday, January 17, 2014…
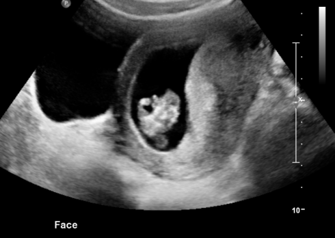
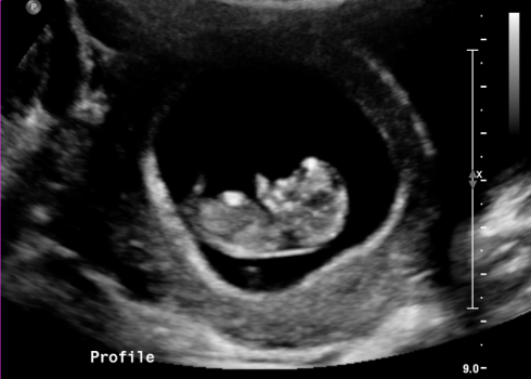
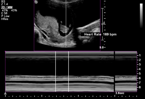
Early Abdominal Ultrasound – Week 10, Day 4
VIDEO CLIPS…
#1 Kicks & Punches
#2 The Outstretched Leg
#3
#4
IMAGES…
This link defines the Chorion Frondosum.
Free Your Heels – Free Your Mind – Free The Animals
You are currently browsing the daily archive for January 21, 2014.
January 21, 2014 in MINIVEGAN, Vegan Pregnancy | Tags: 10 Weeks, early abdominal ultrasound, fetal, gestational sac, heart rate, ovary, posterior chorion frondosum, yolk sac | Leave a comment
Friday, January 17, 2014…
Early Abdominal Ultrasound – Week 10, Day 4
VIDEO CLIPS…
#1 Kicks & Punches
#2 The Outstretched Leg
#3
#4
IMAGES…
This link defines the Chorion Frondosum.
“Every time you purchase animal products you pay assassins to murder sentient beings for you.”

















